秦楚风讯 (通讯员 杨柳)近日,十堰市人民医院心血管内科2病区医疗团队再次成功为一名38岁的重症心力衰竭患者植入了心脏收缩力调节器(CCM)。这不仅是一次技术上的成功实践,更标志着该院在心力衰竭器械治疗领域进入了精准、创新的新阶段,为众多药物治疗效果不佳的终末期心衰患者带来了全新的生命曙光。

新技术,为疲惫的心脏注入“强心剂”
本次接受手术的是一位年仅38岁的男性患者,正值壮年却被严重的心衰所困扰,心脏射血分数显著降低,生活质量受到严重影响。传统的药物治疗对他而言效果有限,而他的情况又不符合心脏再同步化治疗(CRT)或植入式除颤器(ICD)的指征,陷入了“治疗方案枯竭”的困境。面对这一挑战,心内科2病区吴三五主任、李波副主任、吴悠博士、向阳医生团队经过严谨的评估和充分的术前讨论,最终决定为其实施国际先进的CCM疗法。
CCM,又称心脏收缩力调节器,是一种专门针对射血分数降低型心衰的创新型医疗器械。它通过释放独特的电脉冲信号,在不增加心脏负担的前提下,精准增强心肌的收缩力,从而从根本上改善心脏功能,被誉为“智能生物电疗法”。
(图为第一例CCM患者术前术后超声比较)
早有先例,疗效显著见证“心”奇迹
CCM技术在十堰市人民医院的成功应用并非偶然。早在2024年3月,该院心内科2病区就已成功完成了首例CCM植入术。当时的患者心衰程度更为严重,入院时心脏射血分数低至21%,生命岌岌可危。在植入了CCM后,效果堪称“立竿见影”。术后短短10天,复查心脏彩超显示其射血分数已奇迹般地提升至41%,心功能得到质的飞跃。患者胸闷、气促等症状大幅缓解,生活质量显著提升。后期的随访显示,该患者恢复情况非常好,复查心脏彩超已完全正常。这一成功案例,极大地增强了医疗团队应用此项高新技术的信心。
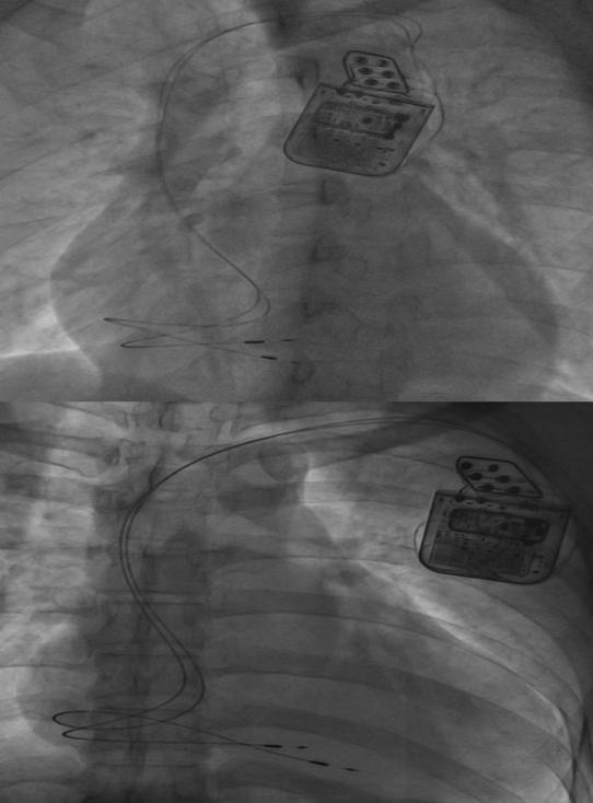
(图为CCM植入图)
突破传统,为心衰治疗开启“新窗口”
据心内科2病区主任吴三五博士介绍,与传统起搏器或ICD不同,CCM的作用机制独树一帜。它是通过调节心肌细胞的钙离子循环,增强心肌的收缩力,从而“锻炼”心肌,让无力跳动的心脏重新变得强健有力。此次手术的成功开展,证明了十堰市人民医院心内科2病区在CCM技术的应用上已日趋成熟,形成了标准化、规范化的诊疗流程。这不仅体现了科室勇于探索、紧跟国际前沿技术的学术精神,更彰显了医院作为区域性医疗中心,为解决疑难重症、守护人民心脏健康的责任与担当,也让更多在心衰困境中挣扎的患者看到了重获“心生”的希望。未来,科室将不断引进和推广先进治疗技术,用精湛的医术和仁爱之心,为每一位患者的“心跳”保驾护航。
什么是心脏收缩力调节器(CCM)?
心脏收缩力调节器(CCM)是一种先进的心力衰竭治疗装置,通过微创手术将刺激电极植入到患者心室,在心脏搏动的绝对不应期释放电刺激。这种电刺激不会改变患者心律,但是可以通过一系列信号通路改善心肌的生理状态,加强心脏收缩能力,从而改善心衰患者的心功能。主要用于窄QRS(<130 ms)、药物治疗效果不佳、左室射血分数在25%-45%的慢性心力衰竭患者。
编辑:林静娴